
干冰作为冷藏保鲜剂,在日常生活中十分常见,然而,干冰如果使用不当,也会造成意外伤害。近日,湖南湘阴14岁的少年维维,把干冰当玩具剧烈摇晃,却被突然爆炸的干冰炸伤拇指,在医院接受了手术治疗才保住手指。

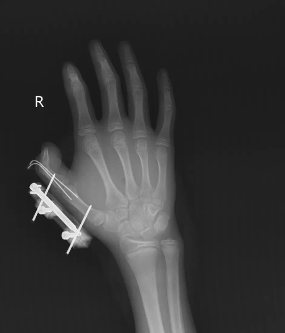
(术后X线检查显示骨折复位良好)
把干冰当玩具摇,14 岁少年手指被炸得深可见骨
“早知道干冰这么危险,我绝对不会去玩。” 病床上的维维懊悔不已。
炎炎夏日,爸爸为了给一家人解暑降温,网购了一箱冰淇淋,维维从爸爸网购冰淇淋的箱子里,拿走了用于保鲜的干冰,像把玩普通玩具一样捏在手里反复摇晃。
突然,密封袋里的干冰发生爆炸!维维的右手瞬间鲜血直流,拇指虎口处被撕开一道约 10 厘米的伤口,深可见骨,肌肉组织断裂外露,还伴随着拇指骨折、关节脱位,整个拇指完全失去知觉。
见状,家人赶紧带他到当地医院包扎,随后紧急转往湖南省人民医院手足显微外科。医院立即开通绿色通道,手术团队连夜进行清创、复位脱位的掌指关节、固定骨折、逐层修复肌肉。经过 7 天的精心护理,维维的拇指总算保住了,但后续还需要长期康复训练,才能慢慢恢复手部精细动作功能。

(湖南省人民医院陈建民主任查看维维恢复情况)
干冰不是普通冰块,爆炸威力堪比鞭炮
“干冰的成分是固态二氧化碳,在常温下会迅速气化,体积能膨胀 600 倍!” 湖南省人民医院手足显微外科主任陈建民解释道。
如果把干冰装进密封袋这类完全封闭的容器里摇晃,随着气化产生的气体越来越多,容器内部压力会急剧升高,一旦超过承受极限就会爆炸。更可怕的是,这种爆炸的威力是普通鞭炮的数倍,瞬间产生的冲击力足以造成像维维这样的严重伤害。
除了爆炸风险,干冰的低温特性也暗藏危险。它的温度低至 - 78.5℃,直接接触皮肤会导致冻伤,长时间接触甚至会损伤深层肌肉和神经。此外,若在通风不良的环境中大量存放干冰,气化产生的二氧化碳聚集,还可能导致缺氧窒息。
这 5 条安全提醒,家家户户都该记牢
干冰在食品保鲜、舞台特效等场景中很常见,但危险往往藏在 “不以为意” 里。陈建民主任特别提醒,正确使用和储存干冰,必须做好这几点:
拒绝密封容器:千万别把干冰放进完全密封的瓶子、袋子里,一定要留出让气体释放的空间。
接触必戴防护:处理干冰时,必须戴厚棉手套或用隔热工具,绝对不能用手直接碰。
存放选通风处:干冰要放在空气流通的地方,避免在密闭小空间里大量存放。
别让孩子触碰:家长要把干冰放在孩子拿不到的地方,明确告诉孩子这不是玩具。
受伤立即就医:一旦被干冰冻伤或炸伤,别自己处理,马上送医院,以免耽误治疗。
不起眼的干冰,竟能造成这么严重的伤害。希望维维的经历能让更多人警醒:生活中的 “常见物品”,若使用不当可能变成 “隐形杀手”。转发给家人朋友,一起守住安全这根弦!
(来源:湖南省人民医院骨科六病区 李洁)